
나이가 들수록 밀려 올라가는 잇몸
나이가 들면 몸 여기저기에서 작은 변화들이 나타납니다. 그 가운데 많은 분들이 불편을 호소하는 것이 바로 잇몸 건강입니다. 젊을 때는 튼튼했던 잇몸이 나이를 먹으면서 점점 약해지고, 마치 치아 뿌리가 드러나는 듯한 느낌을 받는 경우가 있습니다. 흔히 “잇몸이 밀려 올라간다”라고 표현하는데, 치과에서는 이를 **잇몸퇴축(치은퇴축)**이라고 부릅니다. 이번 글에서는 잇몸퇴축이 왜 생기는지, 어떻게 관리해야 하는지, 그리고 효과적인 치료 방법은 무엇인지 정리해 보겠습니다.
잇몸이 밀려 올라가는 원인
잇몸이 내려앉아 치아 뿌리가 드러나는 현상은 다양한 원인으로 발생합니다.
첫째, 자연스러운 노화 과정입니다. 나이가 들수록 잇몸 조직이 얇아지고 치조골이 서서히 흡수되면서 잇몸이 위로 당겨지는 것처럼 보입니다. 이는 누구에게나 나타날 수 있는 자연스러운 변화입니다.
둘째, 잘못된 칫솔질 습관입니다. 세게 문지르듯이 칫솔질을 하거나 딱딱한 칫솔을 사용하는 경우, 오히려 잇몸이 상처를 입고 점점 후퇴할 수 있습니다.
셋째, 치주질환입니다. 치석과 세균이 잇몸 속에 쌓이면 잇몸에 염증이 생기고 점차 잇몸 뼈까지 손상됩니다. 이 과정에서 잇몸이 붓고 피가 나다가 결국 퇴축이 심해지게 됩니다.
넷째, 이갈이와 교합 문제도 잇몸을 자극하는 원인이 됩니다. 수면 중 이를 꽉 무는 습관은 치아뿐 아니라 잇몸에도 부담을 주어 퇴축을 가속화시킵니다.
생활 속 관리 방법
잇몸 건강은 작은 습관의 차이에서 시작됩니다. 잇몸퇴축을 예방하고 진행을 늦추기 위해서는 다음과 같은 관리가 필요합니다.
칫솔질 교정: 부드러운 칫솔모를 사용하고, 잇몸과 치아가 만나는 부분을 45도 각도로 쓸어내듯 닦는 바스(Bass) 법을 추천합니다.
치실과 워터픽 활용: 양치질만으로는 치아 사이의 세균을 완벽히 제거할 수 없습니다. 치실이나 워터픽을 병행하면 잇몸 염증 예방에 큰 도움이 됩니다.
구강세정제 사용: 클로르헥시딘 같은 살균 성분이 함유된 구강세정제는 염증을 줄이고 세균 번식을 억제해 줍니다. 다만 장기간 사용은 착색이나 미각 변화가 있을 수 있으므로 단기간 사용이 적절합니다.
건강한 생활습관: 금연과 절주는 필수입니다. 흡연은 잇몸 혈액순환을 방해해 회복력을 떨어뜨리고, 과음 역시 잇몸 염증을 악화시킬 수 있습니다.
영양 보충: 비타민 C와 오메가 3 지방산은 잇몸 조직 재생과 염증 완화에 도움을 줍니다.
치과에서 받을 수 있는 치료
생활습관 관리만으로는 한계가 있기 때문에, 증상이 심하다면 치과 치료가 필요합니다.
1. 스케일링과 잇몸 치료
가장 기본적인 방법은 스케일링입니다. 치석과 세균막을 제거해 잇몸 염증을 완화하는 것이 첫 단계입니다. 상태에 따라 잇몸을 깊이 청소하는 치근활택술이나 치주소파술을 시행하기도 합니다.
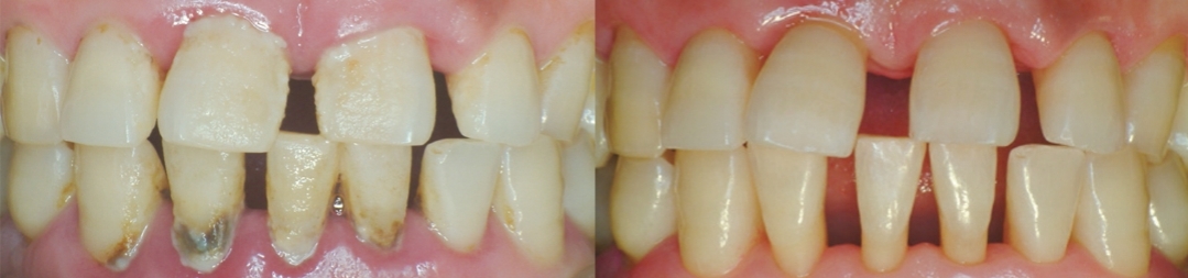
2. 잇몸 이식술
잇몸이 많이 내려앉아 치아 뿌리가 크게 노출된 경우, 입천장에서 잇몸 조직을 떼어와 이식하는 수술을 받기도 합니다. 이를 통해 미관을 개선하고 시린 증상을 완화할 수 있습니다.
3. 교합 조정 및 이갈이 치료
이갈이가 원인이라면 마우스피스 착용이나 보톡스 시술을 통해 잇몸에 가해지는 압력을 줄일 수 있습니다. 교합이 맞지 않는 경우에는 교정적 치료가 필요할 수도 있습니다.
잇몸퇴축을 방치하면 생기는 문제
잇몸이 밀려 올라가는 것을 단순히 나이 탓으로만 여기고 방치하면 여러 가지 문제가 생깁니다. 우선 치아 뿌리가 드러나면서 찬 음식이나 바람에도 시린 증상이 생깁니다. 또한 치근 부위는 법랑질이 아닌 상아질로 되어 있어 충치가 잘 생기고 마모도 빠릅니다. 심한 경우 치아를 지탱하는 뼈까지 손상되어 결국 치아를 잃을 수도 있습니다. 따라서 조기에 발견하고 관리하는 것이 무엇보다 중요합니다.
결론
잇몸이 밀려 올라가는 느낌은 누구에게나 나타날 수 있는 노화 현상이지만, 생활습관이나 치주질환, 이갈이 등 다양한 원인으로 심해질 수 있습니다. 초기 단계라면 올바른 칫솔질과 정기적인 스케일링만으로도 충분히 관리가 가능하지만, 이미 치아 뿌리가 많이 드러났다면 전문적인 잇몸 치료나 이식술을 고려해야 합니다.
무엇보다 중요한 것은 정기적인 치과 검진입니다. 작은 불편을 대수롭지 않게 넘기지 말고, 증상이 생겼을 때 바로 전문가의 도움을 받는 것이 치아를 오래 지키는 길입니다. 나이가 들어도 건강한 치아와 잇몸을 유지한다면 식사와 대화, 웃음까지 삶의 질이 한층 높아질 것입니다.
'정보' 카테고리의 다른 글
| 9월 제철 과일, 가을의 달콤한 선물 (6) | 2025.09.11 |
|---|---|
| 아기 이유식, 압력밥솥 + 실리콘 내솥으로 간편하게! (2) | 2025.09.09 |
| 자동차 보험 비교, 현명한 선택의 시작입니다 (0) | 2025.09.06 |
| 2025년 2차 민생회복지원금 리뷰: 받을 수 있을까? 기준부터 신청까지 총정리! (1) | 2025.09.02 |
| 40대 이상이라면 꼭 챙기세요! 국가가 제공하는 성인 무료 건강검진 (6) | 2025.09.01 |